GÖRÜNTÜLEMEDE SÜRPRİZ BULGU: MYELOLİPOMA
- 9 Nis 2025
- 2 dakikada okunur
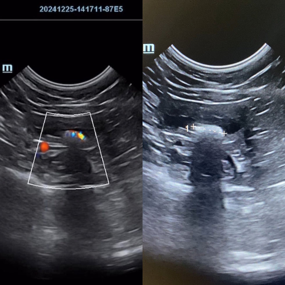
Geçtiğimiz günlerde kliniğimize gelen tatlı mı tatlı 8 yaşındaki Prenses, anal kese problemleri nedeniyle muayeneye alındı. Her zamanki gibi detaylı bir kontrol yaparken, karın içi organlarını da değerlendirmek adına bir abdominal ultrasonografi (USG) uyguladık. Anal kese sorununu çözdükten sonra, dalakta küçük ama dikkat çekici bir oluşum fark ettik: hiperekoik (ultrasonda parlak görünen), düzgün sınırlı bir nodül.
İlk anda birçok hasta sahibinin aklına “Kötü bir şey mi bu?” sorusu gelir, bu tamamen doğal. Ancak Prenses’in dalak nodülü myelolipomaydı.
Peki nedir bu myelolipoma?
Myelolipoma, genelde dalakta görülen ve yapısında yağ dokusu ile kemik iliği hücrelerini barındıran iyi huylu bir kitle türüdür. Özellikle ileri yaştaki köpek ve kedilerde tesadüfen fark edilir. Genellikle başka bir şikâyetle kliniğe gelmiş hayvanlarda, karın ultrasonu sırasında ortaya çıkar.
Ultrasonda:
• Parlak (hiperekoik) görünür,
• Düzgün sınırlıdır,
• Genellikle dalak kenarında ya da damarlar çevresinde yer alır,
• Bazen sayıca fazla olabilir ama çoğu zaman hiçbir belirtiye yol açmaz.
Myelolipoma Tehlikeli midir?
Myelolipomalar genellikle zararsızdır ve tedavi gerektirmezler. Çoğunlukla başka bir neden ile yapılan abdominal görüntüleme sırasında fark edilirler. Ancak görünüm olarak diğer ciddi kitlelerle karıştırılabileceklerinden, ayırıcı tanı dikkatle yapılmalıdır.
Nodülün yerleşimi, şekli ve ek bulgulara göre gerekirse ince iğne aspirasyon biyopsisi önerilebilir.
Prenses’in durumunda nodülün görüntüsü oldukça tipikti ve ek şüpheli bulgu yoktu. Bu nedenle takip önerdik ve aileyi bilgilendirdik.

Ne Zaman Risk Oluşturur?
1. Nodülün Boyutu Çok Büyükse:
• Bazen myelolipomalar normalden çok daha büyük hale gelebilir.
• Büyük kitleler dalağın şekil ve işlevini etkileyebilir, hatta nadir de olsa komşu yapılara baskı yapabilir.
• Çok büyük boyuta ulaşanlarda kapsül yırtılması ya da kanama riski artabilir (nadir ama olasılık dahilinde).
2. Sayıca Çok Fazlaysa:
• Tek bir lezyon yerine birden fazla myelolipoma olması, bazen dalak fonksiyonlarını zorlayabilir ya da görüntülemeyle ayrım yapmayı güçleştirebilir.
• Diğer patolojilerle (örneğin metastaz, lenfoma gibi) karışabileceğinden net bir tanı konulana kadar şüphe ile yaklaşılır.
3. Görüntüleme Bulguları Net Değilse:
• Eğer myelolipoma olduğu düşünülen yapı, ultrasonografide tipik görünmüyorsa ya da malignite (kötü huylu tümör) ile benzerlik gösteriyorsa, mutlaka ileri değerlendirme yapılmalıdır.
• Bu gibi durumlarda ince iğne aspirasyonu (sitoloji) ya da biyopsi gerekebilir.
4. Ani Değişim veya Klinik Belirti Varsa:
• Ani büyüme,
• Ağrı,
• Karında şişlik,
• Hemoabdomen (karın içine kanama) gibi belirtiler oluşursa,
bu durum acil müdahale gerektiren başka bir probleme işaret ediyor olabilir.
Böyle durumlarda;
• Veteriner hekiminiz lezyonun tipik bir myelolipoma olup olmadığını görüntüleme ve hasta öyküsüyle birlikte değerlendirir.
• Şüpheli bir durum yoksa, takip yeterlidir.
• Belirsizlik varsa, ek tanı yöntemleriyle kesin tanı konulur.



Yorumlar